发布日期:2025-10-09 11:27 点击次数:111

冰镇冷饮冰激凌
为冷链食品保鲜
制作“仙气飘飘”的网红饮料
……
干冰在日常活命中十分常见
但许多东谈主不知谈
干冰若储存、使用不当
便会“躲避杀机”
把干冰当玩物摇
14岁少年手指被炸得深可见骨
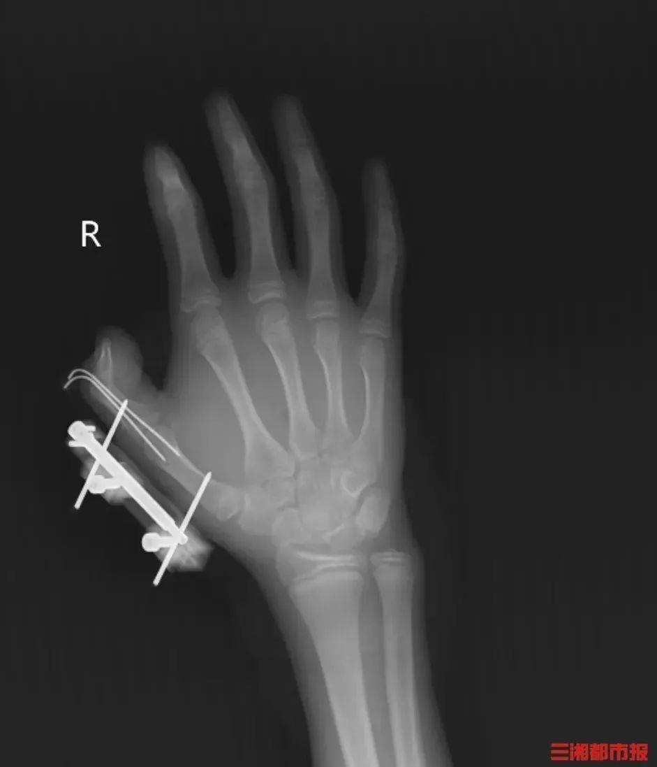
前不久,湖南别称14岁的少年维维(假名),在爸爸网购冰激凌的箱子里发现了用于冷藏的干冰,便拿走当成玩物玩,合手在手里反复摇晃。
蓦然,密封袋里的干冰发生爆炸,维维的右手短暂鲜血直流,拇指虎口处被撕开放盘约10厘米的伤口,深可见骨,肌肉组织断裂外露,还伴跟着拇指骨折、枢纽脱位,扫数拇指完全失去知觉。

见状,家东谈主飞快带他到当地病院包扎,随后遑急转往湖南省东谈主民病院昆仲显微外科。经治疗,维维的拇指保住了,但后续还需弥远康复测验,智商逐渐收复手部精细算作功能。
维维颓落不已:“早知谈干冰这样危急,我十足不会去玩。”

干冰不是“冰”
爆炸威力堪比鞭炮
干冰,别名固态二氧化碳,经常为无毒无味的白色固体,容颜不一。干冰在常温常压下,不错告成升华成二氧化碳气体,升华时体积延迟约800—1000倍,加入开水后会急剧加快升华产生无数烟气。

湖南省东谈主民病院昆仲显微外科主任陈建民先容,要是将干冰装在密封袋里摇晃,跟着气体不休加多,袋子承受不住压力就会爆炸,爆炸产生的威力是常常鞭炮的数倍,短暂的杀伤力退却小觑。
干冰使用不当
可能形成致命危急
爆炸
在密闭容器中使用干冰:干冰在常温下易转化为二氧化碳气体,导细致闭容器内压力升高,超越容器承受极限后产生爆炸。

△图源:广东消防
在雪柜内遗弃干冰:干冰的升华温度约为-78.5℃,而雪柜冷冻室的温度在-4℃至-24℃之间,因此干冰放入雪柜后,会不竭升华产生无数二氧化碳气体,致使雪柜里面压力过大,发生爆炸。

△图源:广东消防
窒息
干冰升华后产生的二氧化碳气体会导致东谈主呼吸遏抑,要是在较禁闭的空间内,短本事就可激发窒息,危及人命。
2024年夏,一须眉在驾驶车辆时突感形体不适,几近晕厥。上海闵行公老实局碧江路派出所接到其妻子的外乡报警,将须眉送医急救。原本,该须眉车辆后备箱中装了一箱冷饮,用干冰冷藏,因干冰发生升华,他在密闭车厢里吸入了过量二氧化碳,导致形体不适。

△车辆后备箱里装了一箱冷饮。图源:闵行公安
冻伤
干冰是温度在-78.5℃以下的固态二氧化碳,告成战争皮肤会短暂带走热量,特别容易形成冻伤,甚而导致皮肤坏死,重则伤及肌肉、骨骼。
收到冷链包裹
奈何安全处治干冰?
别让孩子触碰
家长要把干冰放在孩子拿不到的场合,预防儿童因为其“烟雾缭绕”而风趣把玩,明确告诉孩子干冰不是玩物。
拒却密闭空间
切勿将干冰存放在矿泉水瓶等密闭容器中,或保存在雪柜里;干冰要遗弃在透风致密的场合。
不要在汽车等密闭空间内存放使用干冰。
战争必戴防护
不要告成战争干冰,为幸免冻伤,可使用防冻手套或夹子拿取干冰。

受伤立即就医
当东谈主体皮肤战争干冰后出现冻伤,应付周围皮肤热敷并使用冻疮膏进行处治,若冻伤情况严重,应实时就医。
一朝被干冰炸伤,应立时就医,以免贻误治疗。
几许冰爆炸导致塑料、玻璃等包装碎屑刺入形体,应保持原位独立即就医,盲目拔出可能加剧挫伤。

干冰是生鲜冷冻“保鲜利器”
国度救急播送辅导
收到干冰应透风遗弃妥善处治
密封存放会爆炸
徒手战争易冻伤
若失慎被干冰炸伤冻伤
请立即就医开云体育
Powered by 云开YUNapp「中国」Kaiyun·官方网站-登录入口 @2013-2022 RSS地图 HTML地图